精密根管治療・30代(男性)|「他院で治療した歯がうずき、噛むと痛む」
- 治療方法 精密根管治療
- 施術費用 ¥165,000
- 通院回数 1回
- 通院期間
- メリット 感染した神経や組織を除去して痛みの原因を取り除き、ご自身の天然歯を残せる可能性を高めます。周囲組織への悪影響を抑えることが期待できます。
- リスクと副作用 精密根管治療、静脈内鎮静法は保険適用外です。精密根管治療後には痛みや違和感が続くことがあり、歯が脆く割れやすくなる場合があります。感染が除去できなかった場合は再発のリスクがあります。
精密根管治療の治療例です。「以前、他院にて治療した歯がうずき、たまに噛むと痛むこともあるため、しっかり治療してもらいたいと思い、調べてきました。」と、来院されました。当院にて診査・診断を行い、専門医による根管治療を実施しました。
治療前と治療後の比較


術前から術後までの治療の流れ
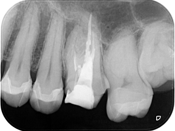
初診時

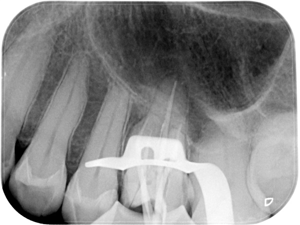
根管治療中(試適時)

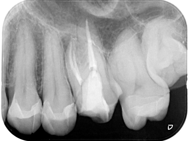
根管治療終了時

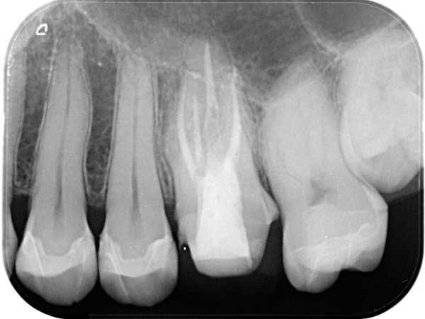
根管治療終了後3か月経過



