セラミック治療・20代(女性)|「他院で入れた前歯の不自然なセラミックを自然な色調に再治療」
- 治療内容 セラミック治療
- 施術費用 149600円×6本
- 通院回数 3-4回
- 通院期間
- メリット 審美性に優れており、天然歯に近い自然な色や形に仕上がります。金属を使わないため、金属アレルギーの心配がなく、高い適合精度と耐久性によって、美しさと機能を長く維持しやすくなります。
- リスクと副作用 セラミック治療は保険適用外(自由診療)です。強い衝撃や過度な力が加わると、まれに割れることがあります。治療後にしみる症状がみられることがありますが、多くは時間とともに落ち着いていきます。
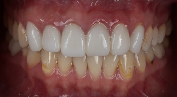
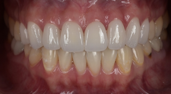
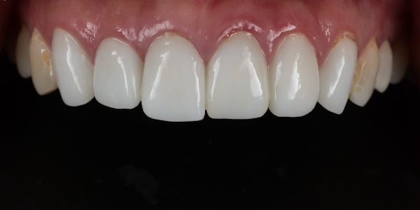
セラミック治療の治療例です。「以前、他院で治療した前歯の被せものの色味が不自然で気になる。また、被せものを入れてから歯茎が腫れるようになった。」とのことでご相談に来院されました。口腔内を確認したところ、セラミックの色が周囲の歯と調和しておらず、歯と歯茎の境目(マージン)部の適合が十分でないため、歯茎の炎症が起きている可能性が考えられました。当院にて、装着されていたセラミックの被せものを一度外し、歯茎の状態を確認したうえで、周囲の歯と自然になじむ色調のセラミックの被せものを新しく作り直しました。治療後は歯茎の腫れも落ち着き、前歯の色も周囲の歯となじみ、自然な見た目になりました。
治療前と治療後の比較


前歯部のクローズアップ
治療前

治療後



