精密根管治療・20代(男性)|「他院で神経の治療が必要と指摘された歯を精密根管治療」
- 治療方法 精密根管治療
- 施術費用 ¥165,000
- 通院回数 1回
- 通院期間
- メリット 感染した神経や組織を除去して痛みの原因を取り除き、ご自身の天然歯を残せる可能性を高めます。周囲組織への悪影響を抑えることが期待できます。
- リスクと副作用 精密根管治療、静脈内鎮静法、セラミック治療は保険適用外です。精密根管治療後には痛みや違和感が続くことがあり、歯が脆く割れやすくなる場合があります。感染が除去できなかった場合は再発のリスクがあります。
精密根管治療の治療例です。他院にて、神経の治療が必要になる可能性のある大きな虫歯があると指摘を受けたとのことでした。根管治療専門医による精密根管治療をご希望され、当院を受診されました。当院にて診査・診断を行い、専門医による根管治療を実施しました。
治療前と治療後の比較


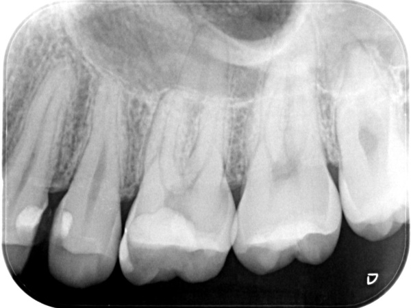
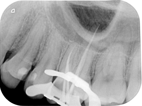
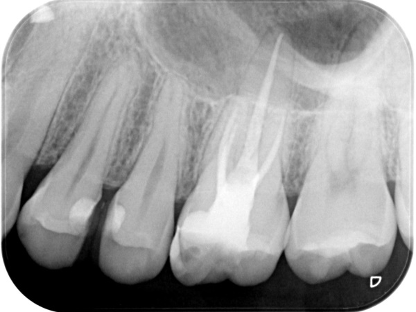
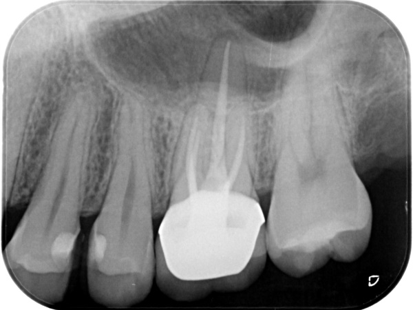
術前から術後までの治療の流れ
初診時

根管治療中(試適時)

根管治療終了時

根管治療終了後3か月経過



