精密根管治療・30代(男性)- 「他院で中断した根の治療を静脈内鎮静下で再治療」
精密根管治療の治療例です。
他院にて根の治療を始めたものの、途中で治療を中断してしまったとのことで来院されました。
歯科恐怖症があり、静脈内鎮静下での治療をご希望されていました。
当院にて診査・診断を行い、静脈内鎮静下にて専門医による精密根管治療を実施しました。
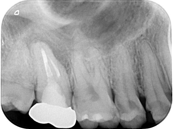
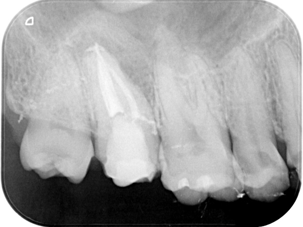
【 上の歯の精密根管治療 】
治療前と治療後の比較


術前から術後までの治療の流れ
初診時

根管治療中(試適時)

根管治療終了時

根管治療終了後3か月経過

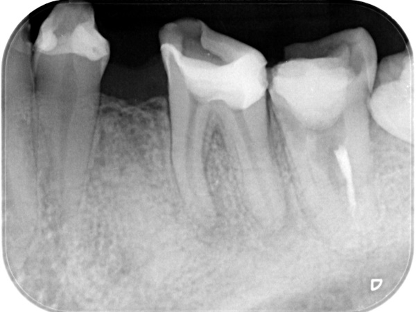
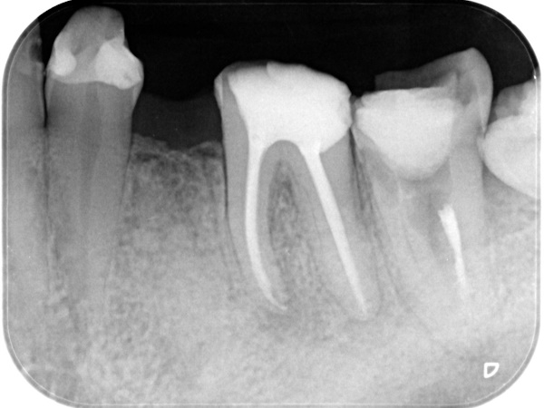
【 下の歯の精密根管治療 】
治療前と治療後の比較


術前から術後までの治療の流れ
初診時

根管治療中(試適時)

根管治療終了時

根管治療終了後3か月経過

- 治療方法 精密根管治療、静脈内鎮静法
- 施術費用 ¥209,000(静脈内鎮静込み)
- 通院回数 1回
- 通院期間
- メリット 感染した神経や組織を除去して痛みの原因を取り除き、ご自身の天然歯を残せる可能性を高めます。周囲組織への悪影響を抑えることが期待できます。当院は麻酔担当医が常勤しているため、さまざまな症例で静脈内鎮静法を併用可能です。
- リスクと副作用 精密根管治療、静脈内鎮静法、セラミック治療は保険適用外です。精密根管治療後には痛みや違和感が続くことがあり、歯が脆く割れやすくなる場合があります。感染が除去できなかった場合は再発のリスクがあります。


