セラミック治療・30代(男性)- 「前歯の付け根の変色と色味が気になる」
セラミック治療の治療例です。
前歯の付け根(歯頸部)の変色が気になる、前歯の色味を明るくしたいとのことでご来院いただきました。
当院にて虫歯の治療を行い、その後、前歯6本のセラミック治療を行いました。

治療前と治療後の比較
Before

After

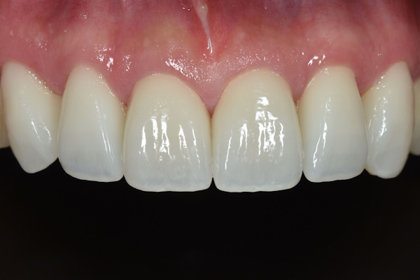
前歯部のクローズアップ
Before

After

- 治療内容 セラミック治療(クラウン)
- 施術費用 149600円×6本
- 通院回数 3-4回
- 通院期間
- メリット 審美性に優れており、天然歯に近い自然な色や形に仕上がります。金属を使わないため、金属アレルギーの心配がなく、高い適合精度と耐久性によって、美しさと機能を長く維持しやすくなります。
- リスクと副作用 セラミック治療は保険適用外(自由診療)です。強い衝撃や過度な力が加わると、まれに割れることがあります。治療後にしみる症状がみられることがありますが、多くは時間とともに落ち着いていきます。


