セラミック治療・40代(女性)- 「他院で治療した詰め物の劣化が気になる」
セラミック治療の治療例です。
以前、他院で治療された歯の詰め物の劣化が気になるとのことでご来院いただきました。
当院にて虫歯の治療を行い、その後セラミックによる修復治療を行いました。
接着効率を高めるため、治療にはラバーダムを使用しております。
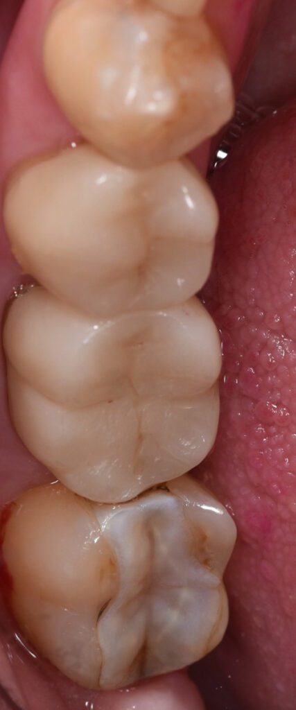
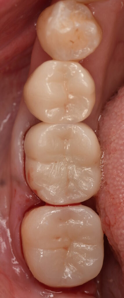
治療前と治療後の比較
Before
|
After
|
術前から術後までの治療の流れ
![]() |
![]() |
![]() |
- 治療内容 セラミック治療(アンレー)
- 施術費用 88000円
- 通院回数 2-3回
- 通院期間
- メリット 審美性に優れており、天然歯に近い自然な色や形に仕上がります。金属を使わないため、金属アレルギーの心配がなく、高い適合精度と耐久性によって、美しさと機能を長く維持しやすくなります。
- リスクと副作用 セラミック治療は保険適用外(自由診療)です。強い衝撃や過度な力が加わると、まれに割れることがあります。治療後にしみる症状がみられることがありますが、多くは時間とともに落ち着いていきます。







