セラミック治療 – 「笑った時にきれいに見えるようにしたい」
セラミック治療
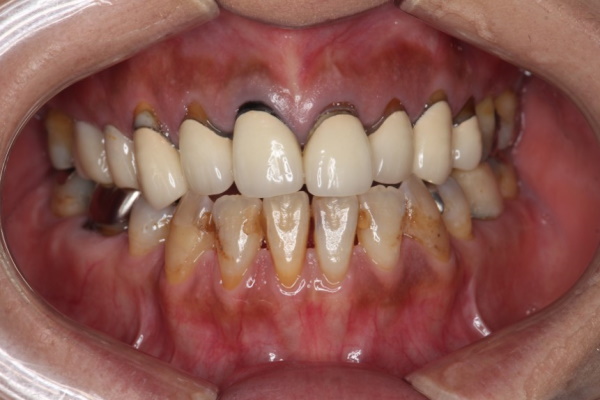
セラミック治療の治療例です。
主訴は「笑った時にきれいに見えるようにしたい」というご希望でした。
これまでに治療されていた不適合な被せ物や詰め物を、ジルコニアクラウン、ポーセレンラミネートベニア、ジルコニアオーバーレイを用いて修復しました。


治療前と治療後の比較
Before

After

- 治療内容 セラミック治療
- 治療方法 ジルコニアクラウン、ポーセレンラミネートベニア、ジルコニアオーバーレイ
- 施術費用
- 通院回数
- 通院期間 1年
- メリット 審美性に優れており、天然の歯に近い自然な色調や質感を再現できるため、自然で美しい歯並びや色、形に仕上げることができます。金属を使用しないため、金属アレルギーの心配がありません。高い適合精度により、二次むし歯のリスクを軽減できます。セラミックは経年劣化しにくく耐久性が高いため、適切なケアを行うことで、長期間にわたって美しさと機能を維持できます。
- リスクと副作用 セラミック治療は保険適用外(自由診療)です。強い衝撃や過度な力が加わると、まれに割れる可能性があります。セラミックの強度を確保するために、歯を削る量が多くなる場合があります。治療後に歯がしみるなどの症状が出ることがありますが、時間の経過とともに改善することが多いです。セラミックはあくまで人工物であるため、一生長持ちするものではなく、適切なケアや定期的なメインテナンスが必要です。


