インプラント治療 – 「奥歯で噛めるようにしたい」
インプラント治療
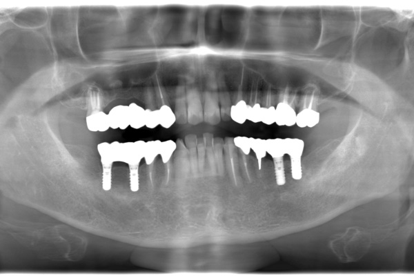
インプラント治療の治療例です。
主訴は「奥歯で噛めるようにしたい」というご希望でした。
下顎の奥歯にインプラント治療を行い、咬み合わせを回復しました。


治療前と治療後の比較
Before

After

Before

After

- 治療内容 インプラント治療
- 治療方法 下顎の奥歯にインプラントを埋入し、咬合を再建
- 施術費用 ¥297,000×本数
- 通院回数
- 通院期間 6ヶ月
- メリット 天然の歯に近い見た目と機能を再現できます。顎の骨に直接固定されるため、ズレや違和感がなく、安定した噛み心地でしっかり噛めるようになり、食事や会話も自然に楽しめます。周囲の歯を削らずに治療できるため、ブリッジのように両隣の歯を削る必要がなく、健康な歯に負担をかけずにインプラントを埋め込むことができます。インプラントは顎の骨に埋め込まれることで、噛む刺激が骨に伝わり、顎の骨が痩せるのを防ぐ効果も期待できます。
- リスクと副作用 インプラント治療は保険適用外(自由診療)です。外科手術を伴うため、術後に腫れや痛み、出血、内出血が生じることがあります。治療後はインプラントを長持ちさせるために、定期的なメインテナンスが必要です。メインテナンスを怠ると、インプラント周囲炎(インプラント周囲の歯周病)を発症するリスクがあります。


