セラミック治療・30代(男性)|「前歯の隙間や色味、形を整えるラミネートベニア治療」
- 治療内容 セラミック治療(ラミネートベニア)
- 施術費用 149600円×6本
- 通院回数 2-3回
- 通院期間
- メリット 審美性に優れており、天然歯に近い自然な色や形に仕上がります。金属を使わないため、金属アレルギーの心配がなく、高い適合精度と耐久性によって、美しさと機能を長く維持しやすくなります。
- リスクと副作用 セラミック治療は保険適用外(自由診療)です。強い衝撃や過度な力が加わると、まれに割れることがあります。治療後にしみる症状がみられることがありますが、多くは時間とともに落ち着いていきます。
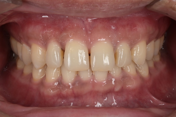
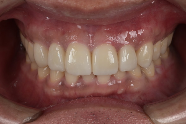
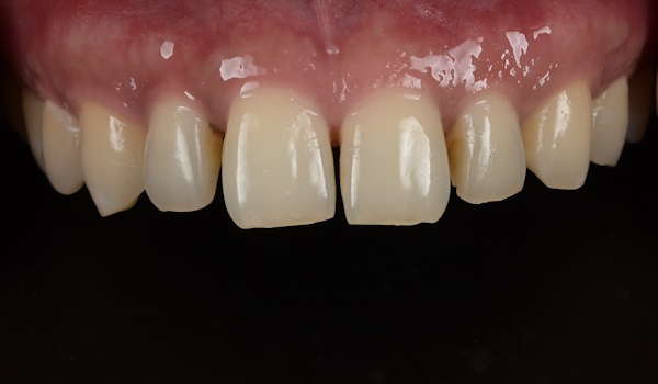
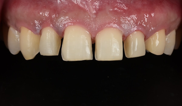
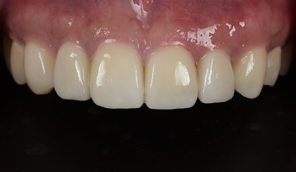
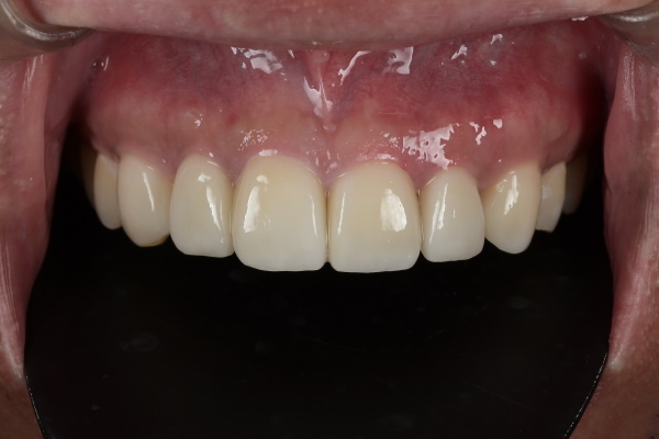
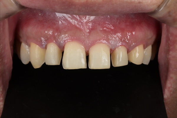
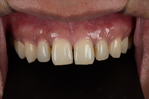
ラミネートベニアの治療例です。前歯の隙間や色味、形が気になるとのことで来院されました。当院にて、上顎前歯6本にラミネートベニアによる治療を行いました。
治療前と治療後の比較


前歯部のクローズアップ
治療前

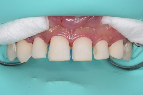
形成後

治療後

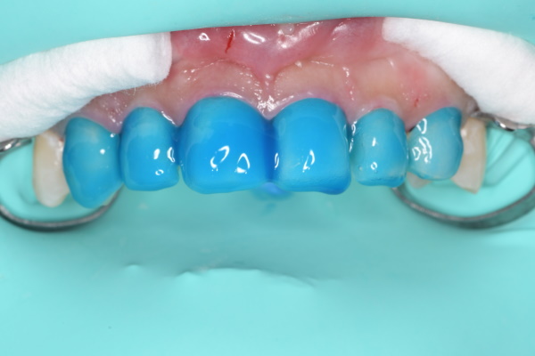
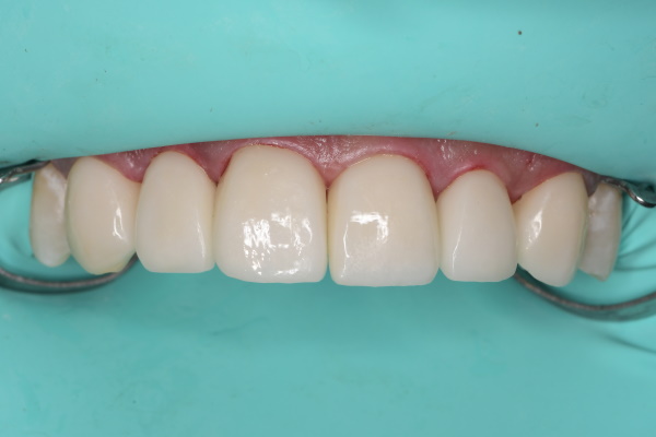
治療の流れ
エッチング

セット前

セット後



