セラミック治療|歯医者が信頼する歯医者として院長が紹介された症例
- 患者様属性:30代男性
- 主訴:食事をしてたら右下の奥歯が欠けて沁みる
- 治療内容:右下7のジルコニア修復治療
- 施術費用:88,000円
- 通院回数:2回
- 通院期間:1週間
- メリット 審美性に優れており、天然歯に近い自然な色や形に仕上がります。金属を使わないため、金属アレルギーの心配がなく、高い適合精度と耐久性によって、美しさと機能を長く維持しやすくなります。
- リスクと副作用 セラミック治療は保険適用外(自由診療)です。強い衝撃や過度な力が加わると、まれに割れることがあります。治療後にしみる症状がみられることがありますが、多くは時間とともに落ち着いていきます。
院長が紹介されました
「歯医者が信頼する歯医者」として院長が紹介されました
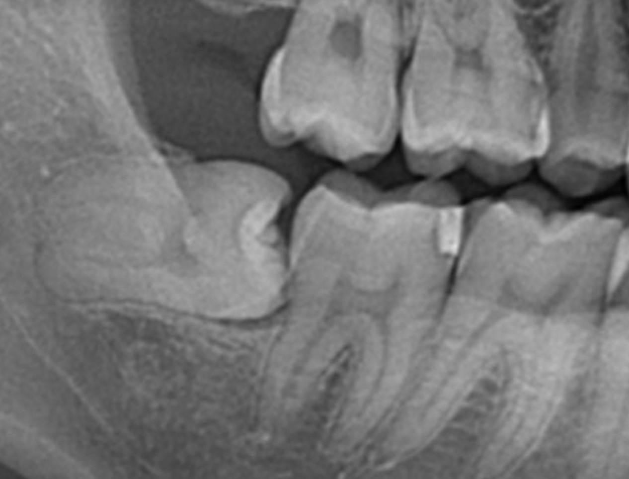
レントゲン画像

主訴として「食事をしてたら右下の奥歯が欠けて沁みる」とのことでした。
今回治療の歯は「右下7」なので、画像の横向きになった親知らずの隣の歯となります。
治療の様子
治療の最中から唾液などによって細菌感染することの無いよう、またしっかりとした接着操作のためなどのため、「ラバーダム防湿」を行ったうえで治療しています。


