ホワイトスポットの治療・20代女性 |「前歯のホワイトスポットが目立って気になる」
- 治療内容: アイコン治療
- 施術費用: 1本 44,000円(今回は2本治療しているため88,000円)
- 通院回数: 1回
- メリット: アイコンは歯を削らずにホワイトスポットを改善できる低侵襲な治療法です。白濁部分を自然な歯の色調に近づけることができ、痛みがほとんどなく麻酔も不要なため、審美性と快適性を両立した画期的な方法です。
- リスクと副作用: アイコン治療は保険適用外(自由診療)です。ホワイトスポットの状態によっては、白濁部分が完全に目立たなくならない場合があります。特に変質が歯の深部に及んでいるケースでは、改善効果が限定的となる可能性があります。
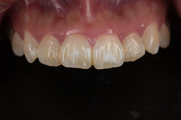
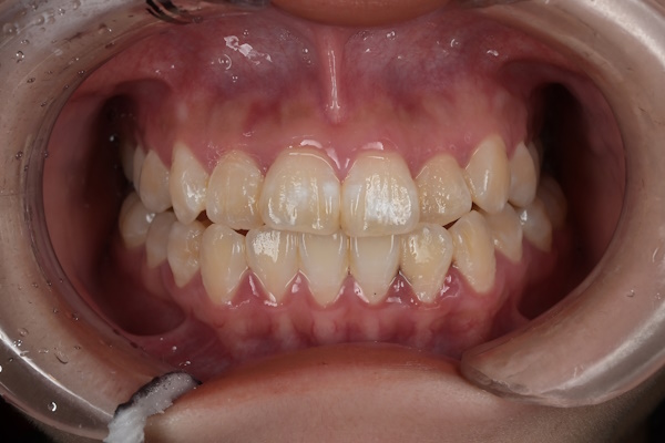
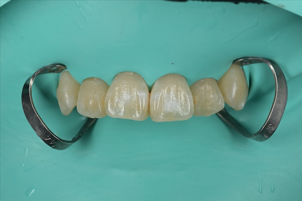
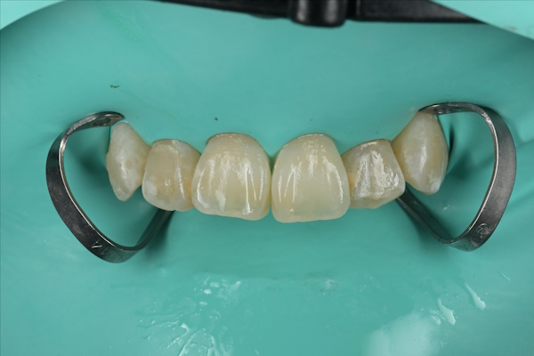
ホワイトスポットの治療例です。前歯2本にホワイトスポットがあり、目立って気になってしまうとのことで、アイコン治療をご希望され来院されました。治療後はホワイトスポットが改善され、喜んでいただけました。歯の表面に現れる白い斑点「ホワイトスポット」は、初期むし歯やエナメル質形成不全などが原因で生じます。従来は削る治療が主流でしたが、薬剤「アイコン(Icon)」を用いることで、歯を削らずに改善することが可能になりました。歯の表面に特殊な樹脂を浸透させることで、白濁部分の光の屈折率を整え、自然な見た目に近づけます。痛みもほとんどなく、審美性の高い治療法です。

治療前と治療後の比較
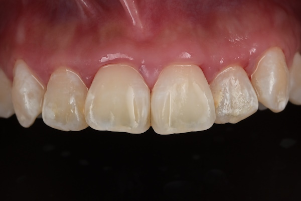
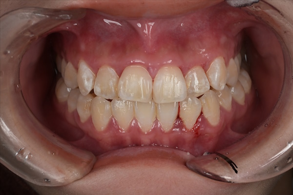
アイコン(Icon)治療前は、歯の表面に白く濁ったホワイトスポットが目立ち、見た目の印象に影響していました。治療後は、特殊な樹脂の浸透によって白濁が軽減され、周囲の歯の色調と自然に馴染む仕上がりとなりました。歯を削ることなく、ここまで審美性を回復できるのがアイコン(Icon)治療の特徴です。
Before

After

Before

After

治療中の様子
アイコン(Icon)治療では、まずホワイトスポット部分の表面を丁寧にクリーニングし、専用の薬剤を用いてエナメル質を適切に処理します。その後、微細な樹脂を浸透させ、特殊な光を照射して硬化させることで、白濁を目立たなくします。痛みはほとんどなく、麻酔も必要ありません。当院では、治療中の精度と安全性を高めるためにラバーダム防湿を使用し、より確実な処置を行っております。





