ホワイトニング・30代(女性)|「過去にホワイトニング経験のある方でもしっかりシェードアップを実感」
- 治療内容 トランセントフラッシュホワイトニング
- 施術費用 ¥55,000
- 通院回数 1回
- 通院期間 1日
- メリット 高濃度の漂白剤を使用しないため、しみにくい特徴があります。
- リスクと副作用 歯肉の軽度の炎症が伴う可能性があります。ホワイトニング後はホワイトスポットが一時的に目立つことがあります。軽度のホワイトスポットはホワイトニングの回数こなしていただくと周りの歯が明るくなるため、目立ちにくくなることがあります。
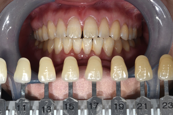
トランセントフラッシュホワイトニングを施術した例です。8年前に、過酸化水素を用いたオフィスホワイトニングを受けられたご経験があるそうです。インターネットで「ホワイトニング 西新宿」と検索されたところ、当院のトランセントホワイトニングがヒットし、来院されました。施術後は黄ばみが軽減し、しっかりとシェードアップを実感していただけました。今後も継続してホワイトニングを行っていく予定です。当院では、薬剤を使用しないホワイトニング機器「クールブライト エックスリミット(CoolBright Ex-Limit)」を導入した、トランセントフラッシュホワイトニングを提供しています。クールブライトは、国内で医療機器として認証された先進のホワイトニング機器で、従来の薬剤(漂白剤)を使用せず、歯がしみにくいのが特徴です。従来のホワイトニングで「痛みが出やすい」「しみるのが不安」「食事制限がつらい」と感じていた方にも安心してご利用いただけます。


ホワイトニング前後の比較
Before

After

▶︎ しみにくい・薬剤を使わないホワイトニング「トランセントホワイトニング」の詳細はこちら


