ホワイトニング・50代(女性)- 「お茶やコーヒーによる着色が気になっていた」
トランセントフラッシュホワイトニングを施術した例です。
トランセントホワイトニングがテレビで紹介されたことをきっかけに、「しみないホワイトニング」に興味を持たれ、ご来院いただきました。
お茶やコーヒー、ワインなど、着色が付きやすい飲み物をよく飲まれるそうで、歯のお色味を気にされていました。
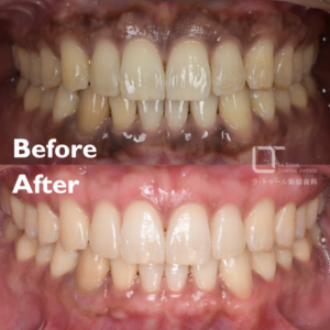
施術後は痛みも少なく、歯の色もしっかりと白くなり、喜んでいただけました。
今後も継続してホワイトニングを行うご予定です。
当院では薬剤無しで行うホワイトニング「トランセントホワイトニング(国内認証医療機器・CoolBright Ex-Limit・クールブライト エックスリミット)」導入歯科医院です。
トランセントホワイトニング「クールブライト」は、従来の漂白剤を使用せず、歯のシミる感覚を感じにくい特徴のある新しいホワイトニングです。


ホワイトニング前後の比較
Before

After

- 治療内容 トランセントフラッシュホワイトニング
- 施術費用 ¥55,000
- 通院回数 1回
- 通院期間 1日
- メリット 高濃度の漂白剤を使用しないため、しみにくい特徴があります。
- リスクと副作用 歯肉の軽度の炎症が伴う可能性があります。ホワイトニング後はホワイトスポットが一時的に目立つことがあります。軽度のホワイトスポットはホワイトニングの回数こなしていただくと周りの歯が明るくなるため、目立ちにくくなることがあります。
高濃度の漂白剤を使用しない「トランセントホワイトニング」についてはコチラ ⇒


