セラミック治療|「奥歯2本の虫歯を見た目もきれいに治したい」
- 治療内容 セラミック治療(アンレー)
- 施術費用 88000円×2本
- 通院回数 2-3回
- 通院期間
- メリット 審美性に優れており、天然歯に近い自然な色や形に仕上がります。金属を使わないため、金属アレルギーの心配がなく、高い適合精度と耐久性によって、美しさと機能を長く維持しやすくなります。
- リスクと副作用 セラミック治療は保険適用外(自由診療)です。強い衝撃や過度な力が加わると、まれに割れることがあります。治療後にしみる症状がみられることがありますが、多くは時間とともに落ち着いていきます。
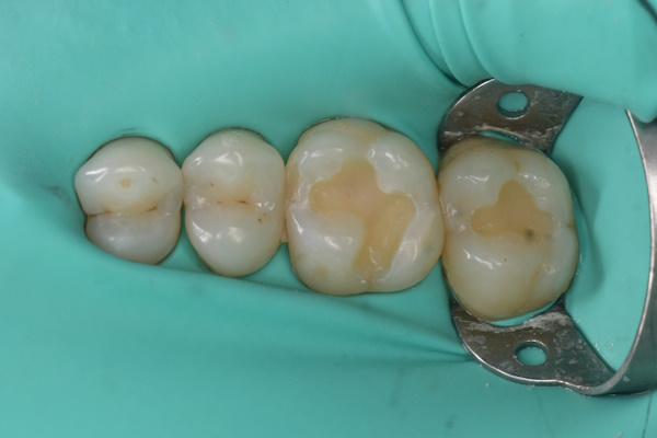
セラミック治療の治療例です。奥歯の虫歯を、見た目もきれいな材料で治したいとのご希望で来院されました。当院にて、2本同時にセラミック治療を行いました。接着効率を高めるため、ラバーダムを使用しています。オキシガードは、過酸化物と還元剤による化学重合反応により、歯科接着用レジンセメント表面の未重合層を硬化させる材料です。さらに、未重合層を空気から遮断することで、確実な硬化を促します。

術前から術後までの治療の流れ
虫歯処置後

エッチング後

オキシガード使用後

セット後



