コンテンツに移動
ナビゲーションに移動
西新宿・西新宿五丁目・都庁前で歯医者は『ラ・トゥール新宿歯科』まで
ホーム
HOME
初めてご利用の方
FIRST
ドクター紹介
DOCTOR
当院の特徴
FEATURE
マイクロスコープを複数配置
動画によるわかりやすい説明
ホワイトニング(漂白剤なし・しみないホワイトニング)
痛みに配慮した歯科治療
正確な診断・精密な診療
デジタル歯科診療に対応
歯を守る「予防」に注力
完全バリアフリーの院内
診療内容
MENU
一般歯科治療
歯周病の治療
むし歯の治療
MI治療(Minimal Intervention)
歯髄保存治療
精密根管治療
接着治療
審美治療
ホワイトニング(漂白剤なし・しみないホワイトニング)
セラミック治療・メタルフリー治療
ダイレクトボンディング
icon(アイコン~歯の白い斑点の治療)
欠損補綴
インプラント治療
義歯・入れ歯治療
口腔外科
親知らずの抜歯
口腔外科治療・手術
顎関節症の治療
歯ぎしり・食いしばりの治療
矯正歯科
マウスピース矯正(インビザライン矯正)
歯列矯正・矯正治療
注射・点滴
ボツリヌス治療
静脈内鎮静法
小児歯科
小児の治療・予防
小児矯正
プレオルソ
お子様が転んで歯をぶつけた(血が出ている・折れた・抜けた)
症状など
歯が折れた・歯が欠けた
妊娠中の歯科受診(マタニティ歯科外来)
短期集中歯科治療
ボロボロの歯の治療
歯科恐怖症の方
予防
予防について
予防で行うこと
当院の歯科衛生士の特徴
生涯医療費と歯の関係
スポーツ外来
スポーツマウスピース・各種マウスガード
治療の目安・リスク・副作用
未承認医薬品等の明示(薬機法)
自由診療とは
症例紹介
CASES
自由診療料金表
PRICE / OTHER
自由診療料金表
医療費控除についてのご案内
お支払方法
医院のご紹介
CLINIC
医院紹介
設備紹介
採用情報
採用エントリーフォーム
法人情報
書面掲示事項のウェブサイトへの掲載
取材・名医など 掲載サイト一覧
診療時間 / アクセス
ACCESS / TIME
診療曜日・時間のご案内
当院の所在地
都庁前駅からのルート
西新宿五丁目駅からのルート
西新宿駅からのルート
バスでお越しの方(京王バス)
お車でお越しの方(駐車場等)
採用情報
RECRUIT
採用情報【歯科衛生士 – 新卒】
採用情報【歯科衛生士 – 既卒・中途】
採用情報【歯科助手】
投稿
HOME
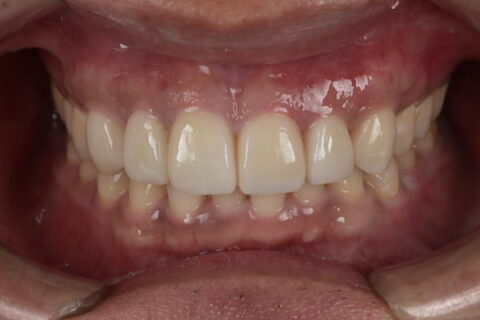
セラミック治療・30代(男性)|「前歯の隙間や色味、形を整えるラミネートベニア治療」
260227-001b
2026/02/27
/ 最終更新日 :
2026/02/27
tom
260227-001b
MENU
ホーム
HOME
初めてご利用の方
FIRST
ドクター紹介
DOCTOR
当院の特徴
FEATURE
マイクロスコープを複数配置
動画によるわかりやすい説明
ホワイトニング(漂白剤なし・しみないホワイトニング)
痛みに配慮した歯科治療
正確な診断・精密な診療
デジタル歯科診療に対応
歯を守る「予防」に注力
完全バリアフリーの院内
診療内容
MENU
一般歯科治療
歯周病の治療
むし歯の治療
MI治療(Minimal Intervention)
歯髄保存治療
精密根管治療
接着治療
審美治療
ホワイトニング(漂白剤なし・しみないホワイトニング)
セラミック治療・メタルフリー治療
ダイレクトボンディング
icon(アイコン~歯の白い斑点の治療)
欠損補綴
インプラント治療
義歯・入れ歯治療
口腔外科
親知らずの抜歯
口腔外科治療・手術
顎関節症の治療
歯ぎしり・食いしばりの治療
矯正歯科
マウスピース矯正(インビザライン矯正)
歯列矯正・矯正治療
注射・点滴
ボツリヌス治療
静脈内鎮静法
小児歯科
小児の治療・予防
小児矯正
プレオルソ
お子様が転んで歯をぶつけた(血が出ている・折れた・抜けた)
症状など
歯が折れた・歯が欠けた
妊娠中の歯科受診(マタニティ歯科外来)
短期集中歯科治療
ボロボロの歯の治療
歯科恐怖症の方
予防
予防について
予防で行うこと
当院の歯科衛生士の特徴
生涯医療費と歯の関係
スポーツ外来
スポーツマウスピース・各種マウスガード
治療の目安・リスク・副作用
未承認医薬品等の明示(薬機法)
自由診療とは
症例紹介
CASES
自由診療料金表
PRICE / OTHER
自由診療料金表
医療費控除についてのご案内
お支払方法
医院のご紹介
CLINIC
医院紹介
設備紹介
採用情報
採用エントリーフォーム
法人情報
書面掲示事項のウェブサイトへの掲載
取材・名医など 掲載サイト一覧
診療時間 / アクセス
ACCESS / TIME
診療曜日・時間のご案内
当院の所在地
都庁前駅からのルート
西新宿五丁目駅からのルート
西新宿駅からのルート
バスでお越しの方(京王バス)
お車でお越しの方(駐車場等)
採用情報
RECRUIT
採用情報【歯科衛生士 – 新卒】
採用情報【歯科衛生士 – 既卒・中途】
採用情報【歯科助手】
診療時間
アクセス
Google MAP
乗換案内
診療予約フォーム
PAGE TOP