コンテンツに移動
ナビゲーションに移動
西新宿・西新宿五丁目・都庁前で歯医者は『ラ・トゥール新宿歯科』まで
ホーム
HOME
初めてご利用の方
FIRST
ドクター紹介
DOCTOR
当院の特徴
FEATURE
マイクロスコープを複数配置
動画によるわかりやすい説明
ホワイトニング(漂白剤なし・しみないホワイトニング)
痛みに配慮した歯科治療
正確な診断・精密な診療
デジタル歯科診療に対応
歯を守る「予防」に注力
完全バリアフリーの院内
診療内容
MENU
一般歯科治療・予防
歯のクリーニング・予防
歯周病の治療
むし歯の治療
MI治療(Minimal Intervention)
歯髄保存治療
精密根管治療
接着治療
小児の治療・予防
審美治療・矯正治療
ホワイトニング(漂白剤なし・しみないホワイトニング)
icon(アイコン~歯の白い斑点の治療)
セラミック治療・メタルフリー治療
マウスピース矯正(インビザライン矯正)
歯列矯正・矯正治療
プレオルソ
小児矯正
欠損補綴・口腔外科手術
インプラント治療
義歯・入れ歯治療
親知らずの抜歯
口腔外科治療・手術
その他の治療
顎関節症の治療
歯ぎしり・食いしばりの治療
ボツリヌス治療
スポーツマウスピース・各種マウスガード
静脈内鎮静法
短期集中歯科治療
ボロボロの歯の治療
歯科恐怖症の方
症例紹介
CASES
自由診療料金表
PRICE / OTHER
お支払方法
自由診療とは
自由診療料金表
医療費控除についてのご案内
リスクと副作用の表記
未承認医薬品等の明示(薬機法)
医院のご紹介
CLINIC
医院紹介
設備紹介
採用情報
採用エントリーフォーム
法人情報
書面掲示事項のウェブサイトへの掲載
取材・名医など 掲載サイト一覧
診療時間 / アクセス
ACCESS / TIME
診療曜日・時間のご案内
当院の所在地
都庁前駅からのルート
西新宿五丁目駅からのルート
西新宿駅からのルート
バスでお越しの方(京王バス)
お車でお越しの方(駐車場等)
症例カテゴリーを選ぶ
採用情報
RECRUIT
投稿
HOME
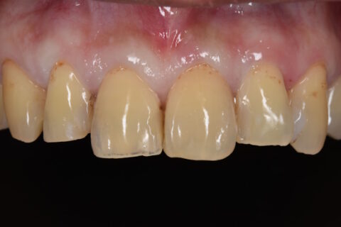
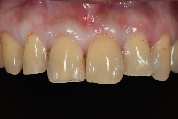
セラミック治療・30代(男性)- 「前歯の付け根の変色と色味が気になる」
251009-004c
2025/10/09
/ 最終更新日 :
2025/10/09
tom
251009-004c
MENU
ホーム
HOME
初めてご利用の方
FIRST
ドクター紹介
DOCTOR
当院の特徴
FEATURE
マイクロスコープを複数配置
動画によるわかりやすい説明
ホワイトニング(漂白剤なし・しみないホワイトニング)
痛みに配慮した歯科治療
正確な診断・精密な診療
デジタル歯科診療に対応
歯を守る「予防」に注力
完全バリアフリーの院内
診療内容
MENU
一般歯科治療・予防
歯のクリーニング・予防
歯周病の治療
むし歯の治療
MI治療(Minimal Intervention)
歯髄保存治療
精密根管治療
接着治療
小児の治療・予防
審美治療・矯正治療
ホワイトニング(漂白剤なし・しみないホワイトニング)
icon(アイコン~歯の白い斑点の治療)
セラミック治療・メタルフリー治療
マウスピース矯正(インビザライン矯正)
歯列矯正・矯正治療
プレオルソ
小児矯正
欠損補綴・口腔外科手術
インプラント治療
義歯・入れ歯治療
親知らずの抜歯
口腔外科治療・手術
その他の治療
顎関節症の治療
歯ぎしり・食いしばりの治療
ボツリヌス治療
スポーツマウスピース・各種マウスガード
静脈内鎮静法
短期集中歯科治療
ボロボロの歯の治療
歯科恐怖症の方
症例紹介
CASES
自由診療料金表
PRICE / OTHER
お支払方法
自由診療とは
自由診療料金表
医療費控除についてのご案内
リスクと副作用の表記
未承認医薬品等の明示(薬機法)
医院のご紹介
CLINIC
医院紹介
設備紹介
採用情報
採用エントリーフォーム
法人情報
書面掲示事項のウェブサイトへの掲載
取材・名医など 掲載サイト一覧
診療時間 / アクセス
ACCESS / TIME
診療曜日・時間のご案内
当院の所在地
都庁前駅からのルート
西新宿五丁目駅からのルート
西新宿駅からのルート
バスでお越しの方(京王バス)
お車でお越しの方(駐車場等)
症例カテゴリーを選ぶ
採用情報
RECRUIT
診療時間
アクセス
Google MAP
乗換案内
PAGE TOP