ガムピーリング・40代(男性)- 「喫煙による歯茎の黒ずみを改善したい」
ガムピーリングの治療例です。
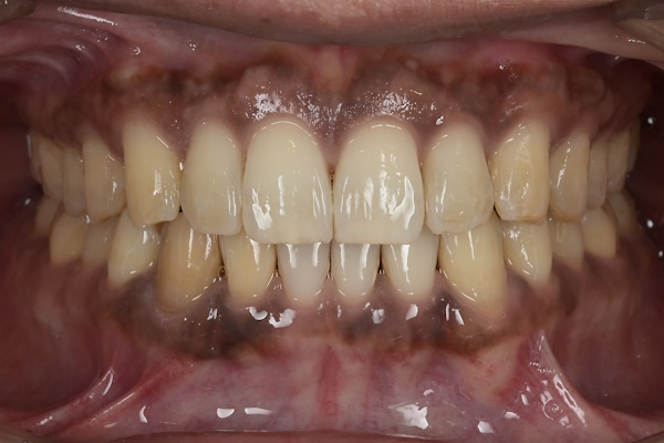
喫煙の影響で歯茎が黒くなり、見た目が気になるとのご希望で来院されました。
当院にてガムピーリングを行いました。
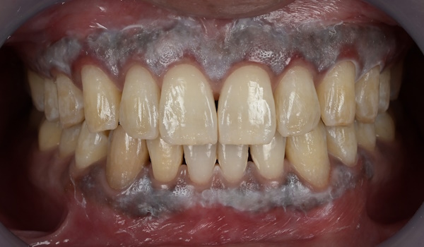
術後は、施術直後から3~4日ほどの間、歯茎に白い膜が張ります。
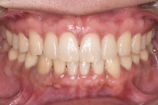
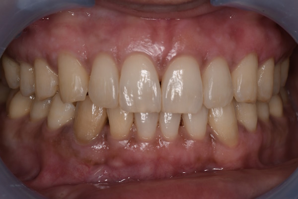
この膜は少しずつ剥がれていき、約1週間かけて健康的なピンク色の歯茎へと戻っていきます。
治療中および治療後の痛みはほとんどありませんが、大切なイベントを控えている場合は、14日以上前の施術をおすすめしています。

術前から術後までの治療の流れ
術前

施術直後

術後(14日後)

- 治療内容 ガムピーリング
- 施術費用 5500円⁻11000円
- 通院回数 1回
- 通院期間
- メリット 1回の施術で完了し、治療中の痛みはほとんどありません。回復も早く、約1週間で自然な歯茎の色へ戻ります。安全性が高く、身体への負担が少ない治療です。
- リスクと副作用 ガムピーリングは保険適用外(自由診療)です。施術後数日間は歯茎に白い膜が生じ、軽いヒリヒリ感や違和感が出る場合があります。喫煙や生活習慣により再び色素沈着が起こる可能性があります。


