精密根管治療・40代(女性)|「他院治療後も違和感が続く歯を静脈内鎮静下で精密根管治療」

  • 治療方法 精密根管治療、静脈内鎮静法
  • 施術費用 ¥209,000(静脈内鎮静込み)
  • 通院回数 1回
  • 通院期間
  • メリット 感染した神経や組織を除去して痛みの原因を取り除き、ご自身の天然歯を残せる可能性を高めます。周囲組織への悪影響を抑えることが期待できます。
  • リスクと副作用 精密根管治療、静脈内鎮静法は保険適用外です。精密根管治療後には痛みや違和感が続くことがあり、歯が脆く割れやすくなる場合があります。感染が除去できなかった場合は再発のリスクがあります。


精密根管治療の治療例です。「以前、他院にて治療した歯の違和感が改善しない。歯科治療が得意ではないため、静脈内鎮静法を併用した精密根管治療をやりたいので診てほしい。」とのことで来院されました。当院にて診査・診断を行い、専門医による精密根管治療を実施しました。

治療前と治療後の比較

Before imageAfter image

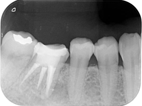
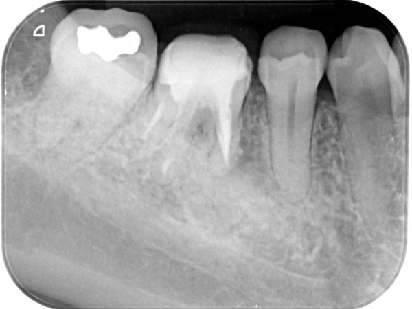
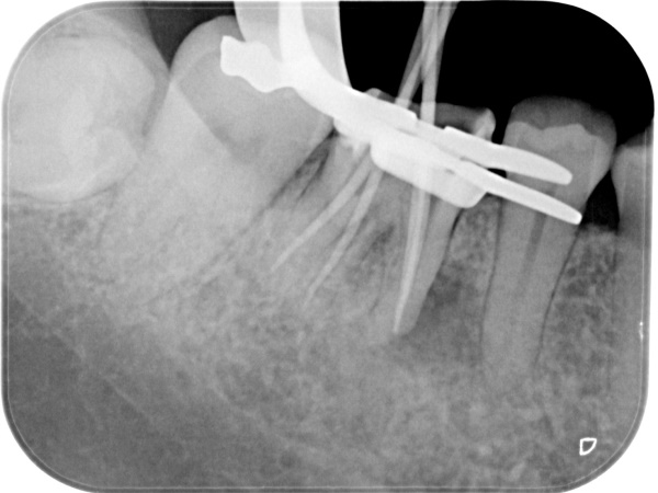
術前から術後までの治療の流れ

初診時

根管治療中(試適時)

根管治療終了時

根管治療終了後3か月経過