セラミック治療|「劣化した詰め物を長期的な安定性を考慮した材料で再治療」
- 治療内容 セラミック治療(アンレー)
- 施術費用 88000円×2本
- 通院回数 2-3回
- 通院期間
- メリット 審美性に優れており、天然歯に近い自然な色や形に仕上がります。金属を使わないため、金属アレルギーの心配がなく、高い適合精度と耐久性によって、美しさと機能を長く維持しやすくなります。
- リスクと副作用 セラミック治療は保険適用外(自由診療)です。強い衝撃や過度な力が加わると、まれに割れることがあります。治療後にしみる症状がみられることがありますが、多くは時間とともに落ち着いていきます。
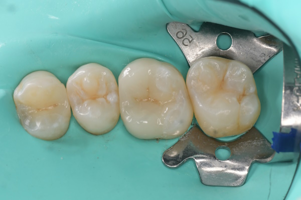
セラミック治療の治療例です。以前に治療した詰め物の劣化をきっかけに来院されました。今後はできるだけやり替えの少ない治療をご希望されており、長期的な安定性を重視して、当院にてセラミック治療を行いました。セラミックは適合精度に優れており、二次虫歯のリスクを抑えることが期待できる材料です。接着の精度を高めるため、治療時にはラバーダムを使用しています。また、オキシガードは過酸化物と還元剤による化学重合反応により、歯科接着用レジンセメント表面の未重合層を硬化させる材料です。未重合層を空気から遮断することで、確実な硬化を促します。

術前から術後までの治療の流れ
虫歯処置後

エッチング後

セット後



