ホワイトニング・30代(男性)- 「しみたり痛みが苦手でトランセントホワイトニングを調べて頂きご来院」
ホワイトニング・30代(男性)- 「しみたり痛みが苦手でトランセントホワイトニングを調べて頂きご来院」
トランセントフラッシュホワイトニングを施術した例です。
ホワイトニングを初めて施術された患者様です。
しみたり痛みが苦手な患者様で当院が取り扱っているトランセントホワイトニングを調べて頂きご来院いただきました。
食事制限がなく歯の痛みが少ないホワイトニングにとても喜んでいただきました。今後も引き続きホワイトニングされる予定です。
当院では、薬剤を使用しないホワイトニング機器「クールブライト エックスリミット(CoolBright Ex-Limit)」を導入した、トランセントフラッシュホワイトニングを提供しています。
クールブライトは、国内で医療機器として認証された先進のホワイトニング機器で、従来の薬剤(漂白剤)を使用せず、歯がしみにくいのが特徴です。
従来のホワイトニングで「痛みが出やすい」「しみるのが不安」「食事制限がつらい」と感じていた方にも安心してご利用いただけます。

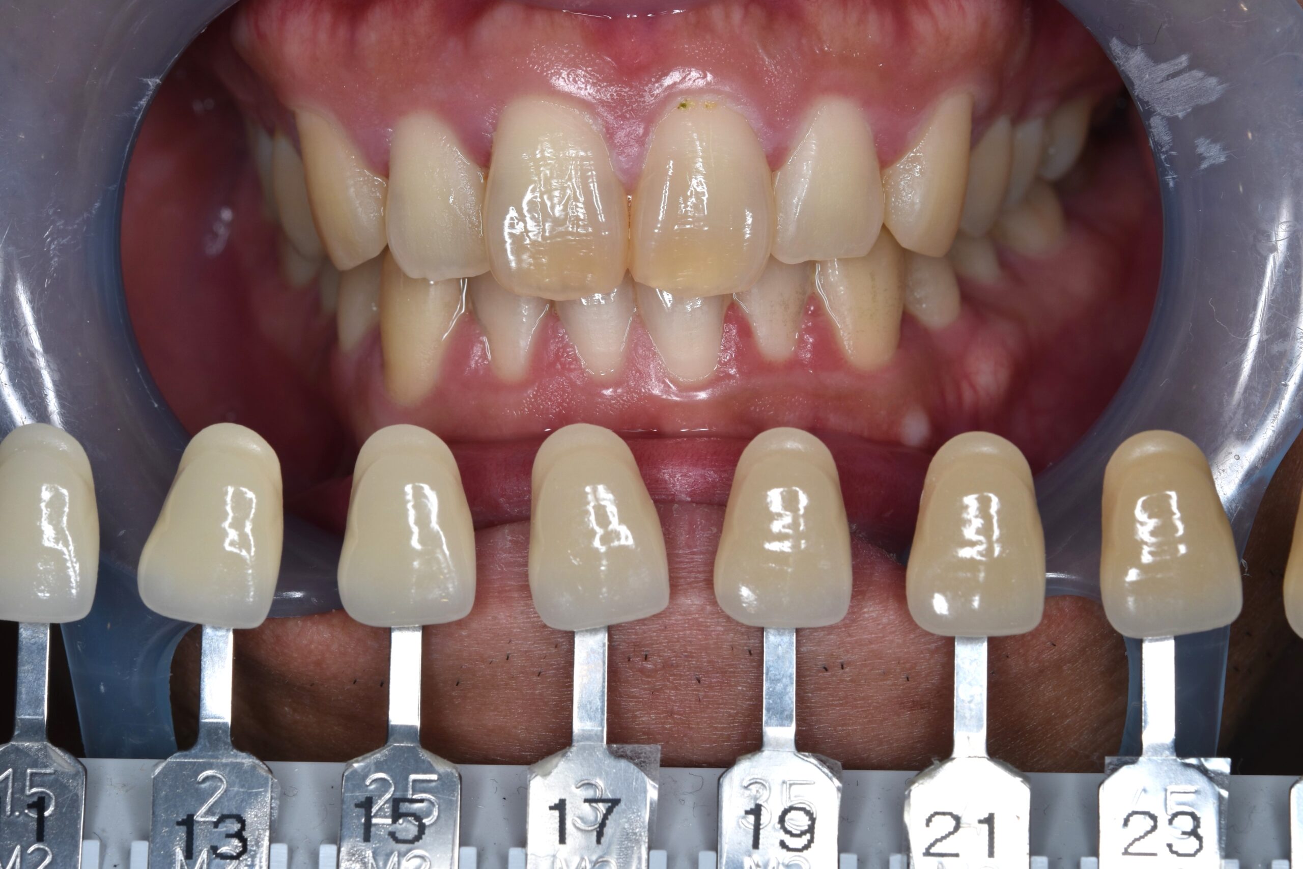
ホワイトニング前後の比較
Before

After

- 治療内容 トランセントフラッシュホワイトニング
- 施術費用 ¥55,000
- 通院回数 1回
- 通院期間 1日
- メリット 高濃度の漂白剤を使用しないため、しみにくい特徴があります。
- リスクと副作用 歯肉の軽度の炎症が伴う可能性があります。ホワイトニング後はホワイトスポットが一時的に目立つことがあります。軽度のホワイトスポットはホワイトニングの回数こなしていただくと周りの歯が明るくなるため、目立ちにくくなることがあります。
▶︎ しみにくい・薬剤を使わないホワイトニング「トランセントホワイトニング」の詳細はこちら


